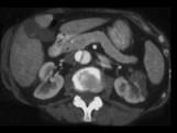
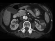
男,54岁,请根据所示图像,选择最可能诊断 ( )A.左侧肾脓肿B.左侧肾囊肿C.左侧肾积水D.左侧肾梗死E.主动脉夹层

作者: rantiku 人气: - 评论: 0
问题 男,54岁,请根据所示图像,选择最可能诊断 ( )
选项 A.左侧肾脓肿 B.左侧肾囊肿 C.左侧肾积水 D.左侧肾梗死 E.主动脉夹层
答案 DE
解析

猜你喜欢

发表评论
更多 网友评论0 条评论)
暂无评论

访问排行

Copyright © 2012-2014 恰考网 Inc. 保留所有权利。 Powered by tikuer.com

页面耗时0.0343秒, 内存占用1.03 MB, Cache:redis,访问数据库17次