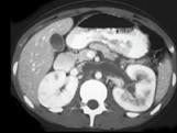
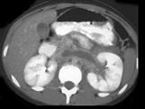
男,48岁,蛋白尿多年,CT如图所示,诊断为肾静脉血栓,肾静脉血栓形成的原因 ( )A.膜性肾小球肾炎B.肾癌C.胰腺炎D.外压性...

作者: rantiku 人气: - 评论: 0
问题 男,48岁,蛋白尿多年,CT如图所示,诊断为肾静脉血栓,肾静脉血栓形成的原因 ( )
选项 A.膜性肾小球肾炎 B.肾癌 C.胰腺炎 D.外压性 E.创伤、脱水、血小板增多症
答案 ABCDE
解析

猜你喜欢

发表评论
更多 网友评论0 条评论)
暂无评论

访问排行

Copyright © 2012-2014 恰考网 Inc. 保留所有权利。 Powered by tikuer.com

页面耗时0.0352秒, 内存占用1.03 MB, Cache:redis,访问数据库19次