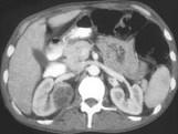
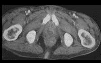
男,35岁,右侧腰部疼痛伴发热,请根据所示图像,选择最可能诊断 ( )A.右侧肾脓肿B.右侧单纯性肾囊肿C.右侧囊性肾癌D.右肾转移瘤...

作者: rantiku 人气: - 评论: 0
问题 男,35岁,右侧腰部疼痛伴发热,请根据所示图像,选择最可能诊断 ( )
选项 A.右侧肾脓肿 B.右侧单纯性肾囊肿 C.右侧囊性肾癌 D.右肾转移瘤 E.前列腺脓肿
答案 AE
解析

猜你喜欢

发表评论
更多 网友评论0 条评论)
暂无评论

访问排行

Copyright © 2012-2014 恰考网 Inc. 保留所有权利。 Powered by tikuer.com

页面耗时0.0419秒, 内存占用1.03 MB, Cache:redis,访问数据库14次