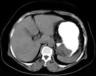
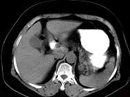
女43岁上腹不适多年,体检行CT扫描如图,最可能的诊断为 ( )A.胃癌B.胃平滑肌瘤C.胃平滑肌肉瘤D.胃淋巴瘤E.胃蛔虫团块

作者: rantiku 人气: - 评论: 0
问题 女43岁上腹不适多年,体检行CT扫描如图,最可能的诊断为 ( )
选项 A.胃癌 B.胃平滑肌瘤 C.胃平滑肌肉瘤 D.胃淋巴瘤 E.胃蛔虫团块
答案 B
解析

猜你喜欢

发表评论
更多 网友评论0 条评论)
暂无评论

访问排行

Copyright © 2012-2014 恰考网 Inc. 保留所有权利。 Powered by tikuer.com

页面耗时0.0379秒, 内存占用1.03 MB, Cache:redis,访问数据库18次