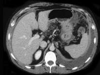
女,36岁,低热、乏力,腹胀不适1月余,结合影像检查,应考虑为 ( )A.肝硬化腹水B.结核性腹膜炎C.腹腔转移瘤D.心源性腹腔积液 ...

作者: rantiku 人气: - 评论: 0
问题 女,36岁,低热、乏力,腹胀不适1月余,结合影像检查,应考虑为 ( )
选项 A.肝硬化腹水 B.结核性腹膜炎 C.腹腔转移瘤 D.心源性腹腔积液 E.急性化脓性腹膜炎
答案 B
解析

猜你喜欢

发表评论
更多 网友评论0 条评论)
暂无评论

访问排行

Copyright © 2012-2014 恰考网 Inc. 保留所有权利。 Powered by tikuer.com

页面耗时0.0464秒, 内存占用1.03 MB, Cache:redis,访问数据库19次