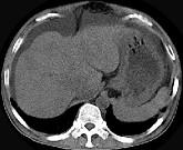
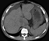
男,44岁,有乙肝病史,现腹胀,右上腹痛,消化不良,消瘦、乏力、贫血、黄疸,血清转氨酶升高,清蛋白/球蛋白比值倒置。CT、MRI检查如下图,最准确的诊断是...

作者: rantiku 人气: - 评论: 0
问题 男,44岁,有乙肝病史,现腹胀,右上腹痛,消化不良,消瘦、乏力、贫血、黄疸,血清转氨酶升高,清蛋白/球蛋白比值倒置。CT、MRI检查如下图,最准确的诊断是 ( )
选项 A.肝硬化并腹水 B.肝硬化并腹水、再生结节 C.肝硬化腹水、肝癌 D.肝硬化并再生结节 E.肝硬化并腹水、脂肪肝
答案 B
解析

猜你喜欢

发表评论
更多 网友评论0 条评论)
暂无评论

访问排行

Copyright © 2012-2014 恰考网 Inc. 保留所有权利。 Powered by tikuer.com

页面耗时0.0433秒, 内存占用1.03 MB, Cache:redis,访问数据库20次