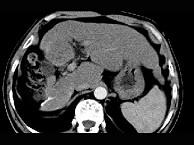
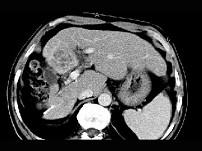
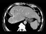
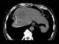
女性,56岁,腹胀、双下肢水肿、乏力、食欲不振,影像所见如下图,最佳的诊断是 ( )A.酒精性肝硬化并肝血管瘤B.血吸虫肝硬化并肝癌 ...

作者: rantiku 人气: - 评论: 0
问题 女性,56岁,腹胀、双下肢水肿、乏力、食欲不振,影像所见如下图,最佳的诊断是 ( )
选项 A.酒精性肝硬化并肝血管瘤 B.血吸虫肝硬化并肝癌 C.肝炎后肝硬化并肝癌 D.局限性脂肪肝 E.原发性肝癌
答案 B
解析

猜你喜欢

发表评论
更多 网友评论0 条评论)
暂无评论

访问排行

Copyright © 2012-2014 恰考网 Inc. 保留所有权利。 Powered by tikuer.com

页面耗时0.0293秒, 内存占用1.03 MB, Cache:redis,访问数据库19次