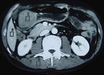
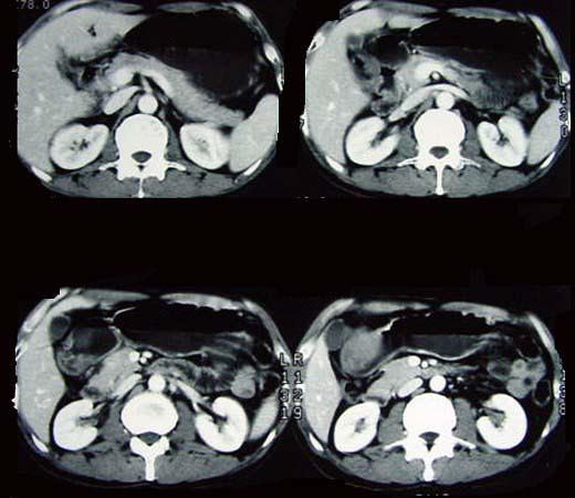
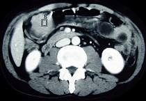
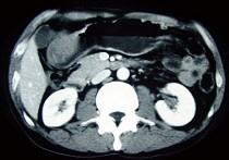
女性,42岁,腹痛、黑便1周,CT扫描见胃窦部圆形块影,最佳的诊断是 ( )A.胃窦平滑肌瘤B.胃癌C.胃淋巴瘤D.胃窦神经纤...

作者: rantiku 人气: - 评论: 0
问题 女性,42岁,腹痛、黑便1周,CT扫描见胃窦部圆形块影,最佳的诊断是 ( )
选项 A.胃窦平滑肌瘤 B.胃癌 C.胃淋巴瘤 D.胃窦神经纤维瘤 E.胃内异物
答案 D
解析

猜你喜欢

发表评论
更多 网友评论0 条评论)
暂无评论

访问排行

Copyright © 2012-2014 恰考网 Inc. 保留所有权利。 Powered by tikuer.com

页面耗时0.0439秒, 内存占用1.03 MB, Cache:redis,访问数据库20次