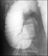
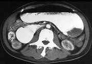
女,14岁,腹胀疼痛,上腹部见胃形,呕吐(胆汁样),影像检查如图,最可能的诊断是 ( )A.十二指肠综合征B.机械性小肠梗阻C.十二指...

作者: rantiku 人气: - 评论: 0
问题 女,14岁,腹胀疼痛,上腹部见胃形,呕吐(胆汁样),影像检查如图,最可能的诊断是 ( )
选项 A.十二指肠综合征 B.机械性小肠梗阻 C.十二指肠憩室 D.十二指肠重复畸形 E.麻痹性肠梗阻
答案 A
解析

猜你喜欢

发表评论
更多 网友评论0 条评论)
暂无评论

访问排行

Copyright © 2012-2014 恰考网 Inc. 保留所有权利。 Powered by tikuer.com

页面耗时0.0333秒, 内存占用1.03 MB, Cache:redis,访问数据库20次