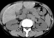
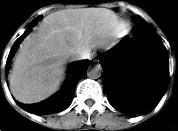
男,40岁有血吸虫感染史,腹胀不适,食欲减退,CT扫描所见如图,最可能的诊断是 ( )A.肝炎后肝硬化B.血吸虫后肝硬化C.酒精性肝硬化 ...

作者: rantiku 人气: - 评论: 0
问题 男,40岁有血吸虫感染史,腹胀不适,食欲减退,CT扫描所见如图,最可能的诊断是 ( )
选项 A.肝炎后肝硬化 B.血吸虫后肝硬化 C.酒精性肝硬化 D.胆汁性肝硬化 E.脂肪肝
答案 B
解析

猜你喜欢

发表评论
更多 网友评论0 条评论)
暂无评论

访问排行

Copyright © 2012-2014 恰考网 Inc. 保留所有权利。 Powered by tikuer.com

页面耗时0.0308秒, 内存占用1.03 MB, Cache:redis,访问数据库18次