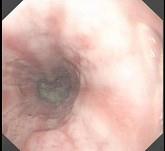
女性,45岁,间歇性发作咽下困难3个月,伴反酸烧心,可因情绪波动诱发。食管造影未见异常,内镜如图,并发症有 ( )A.出血B.食管狭窄C....

作者: rantiku 人气: - 评论: 0
问题 女性,45岁,间歇性发作咽下困难3个月,伴反酸烧心,可因情绪波动诱发。食管造影未见异常,内镜如图,并发症有 ( )
选项 A.出血 B.食管狭窄 C.食管穿孔 D.Barrett食管 E.食管癌
答案 ABD
解析

猜你喜欢

发表评论
更多 网友评论0 条评论)
暂无评论

访问排行

Copyright © 2012-2014 恰考网 Inc. 保留所有权利。 Powered by tikuer.com

页面耗时0.0346秒, 内存占用1.03 MB, Cache:redis,访问数据库20次