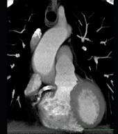
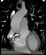
下面一组图像应考虑为 ( )A、左前降支钙化B、左旋支钙化C、正常的左前降支D、右侧冠状动脉钙化E、正常的右侧冠状动脉

作者: rantiku 人气: - 评论: 0
问题 下面一组图像应考虑为 ( )
选项 A、左前降支钙化 B、左旋支钙化 C、正常的左前降支 D、右侧冠状动脉钙化 E、正常的右侧冠状动脉
答案 D
解析

猜你喜欢

发表评论
更多 网友评论0 条评论)
暂无评论
错误啦!

错误信息

  • 消息: [程序异常] : MISCONF Redis is configured to save RDB snapshots, but it's currently unable to persist to disk. Commands that may modify the data set are disabled, because this instance is configured to report errors during writes if RDB snapshotting fails (stop-writes-on-bgsave-error option). Please check the Redis logs for details about the RDB error.
  • 文件: /twcms/kongphp/cache/cache_redis.class.php
  • 位置: 第 85 行
    <?php echo 'KongPHP, Road to Jane.'; ?>