下面一组图像显示的是 ( )A、奇静脉增粗可见于各种病因引起的上腔静脉梗阻B、奇静脉增粗可见于各种病因引起的下腔静脉梗阻C、正常的...

作者: rantiku 人气: - 评论: 0
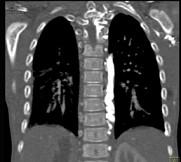
问题 下面一组图像显示的是 ( )
选项 A、奇静脉增粗可见于各种病因引起的上腔静脉梗阻 B、奇静脉增粗可见于各种病因引起的下腔静脉梗阻 C、正常的奇静脉干直径小于1.0cm D、奇静脉弓层面其直径小于1.2cm E、奇静脉扩张
答案 ACDE
解析

猜你喜欢

发表评论
更多 网友评论0 条评论)
暂无评论

访问排行

Copyright © 2012-2014 恰考网 Inc. 保留所有权利。 Powered by tikuer.com

页面耗时0.0376秒, 内存占用1.03 MB, Cache:redis,访问数据库14次