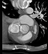
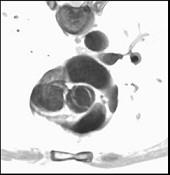
下面一组图像考虑为 ( )A、正常的主动脉瓣B、变异的主动脉瓣(两个瓣膜)C、正常的二尖瓣D、正常的三尖瓣E、正常的肺动脉瓣

作者: rantiku 人气: - 评论: 0
问题 下面一组图像考虑为 ( )
选项 A、正常的主动脉瓣 B、变异的主动脉瓣(两个瓣膜) C、正常的二尖瓣 D、正常的三尖瓣 E、正常的肺动脉瓣
答案 B
解析

猜你喜欢

发表评论
更多 网友评论0 条评论)
暂无评论

访问排行

Copyright © 2012-2014 恰考网 Inc. 保留所有权利。 Powered by tikuer.com

页面耗时0.0419秒, 内存占用1.03 MB, Cache:redis,访问数据库17次