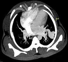
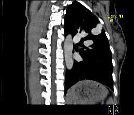
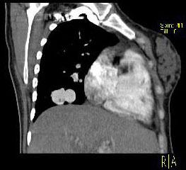
男性,26岁,头晕、气逼三年余,CT检查如图所示,请选择的最可能诊断 ( )A、动静脉畸形B、动脉瘤C、毛细血管扩张症D、毛细...

作者: rantiku 人气: - 评论: 0
问题 男性,26岁,头晕、气逼三年余,CT检查如图所示,请选择的最可能诊断 ( )
选项 A、动静脉畸形 B、动脉瘤 C、毛细血管扩张症 D、毛细血管瘤 E、海绵状血管瘤
答案 A
解析

猜你喜欢

发表评论
更多 网友评论0 条评论)
暂无评论
错误啦!

错误信息

  • 消息: [程序异常] : MISCONF Redis is configured to save RDB snapshots, but it's currently unable to persist to disk. Commands that may modify the data set are disabled, because this instance is configured to report errors during writes if RDB snapshotting fails (stop-writes-on-bgsave-error option). Please check the Redis logs for details about the RDB error.
  • 文件: /twcms/kongphp/cache/cache_redis.class.php
  • 位置: 第 85 行
    <?php echo 'KongPHP, Road to Jane.'; ?>