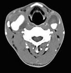
男性,55岁,双侧颈部无痛性包块渐进性增大半年,行CT检查如图所示,请选择最佳答案 ( )A、双侧颈部肿大淋巴结B、双侧血管瘤C、双侧...

作者: rantiku 人气: - 评论: 0
问题 男性,55岁,双侧颈部无痛性包块渐进性增大半年,行CT检查如图所示,请选择最佳答案 ( )
选项 A、双侧颈部肿大淋巴结 B、双侧血管瘤 C、双侧颈静脉瘤 D、双侧颈动脉夹层 E、双侧颈动脉瘤
答案 E
解析

猜你喜欢

发表评论
更多 网友评论0 条评论)
暂无评论

访问排行

Copyright © 2012-2014 恰考网 Inc. 保留所有权利。 Powered by tikuer.com

页面耗时0.0604秒, 内存占用1.03 MB, Cache:redis,访问数据库15次