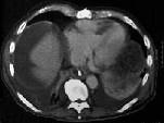
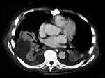
87岁的甲状腺癌转移患者,傍晚行CT检查后死亡。CT图像如图所示,请选择正确的描述和结论 ( )A、考虑为右心室血栓B、黏液瘤C、该充...

作者: rantiku 人气: - 评论: 0
问题 87岁的甲状腺癌转移患者,傍晚行CT检查后死亡。CT图像如图所示,请选择正确的描述和结论 ( )
选项 A、考虑为右心室血栓 B、黏液瘤 C、该充盈缺损累及右心室流出道 D、未见异常发现 E、右心室见一不规则低密度充盈缺损
答案 ACE
解析

猜你喜欢

发表评论
更多 网友评论0 条评论)
暂无评论
错误啦!

错误信息

  • 消息: [程序异常] : MISCONF Redis is configured to save RDB snapshots, but it's currently unable to persist to disk. Commands that may modify the data set are disabled, because this instance is configured to report errors during writes if RDB snapshotting fails (stop-writes-on-bgsave-error option). Please check the Redis logs for details about the RDB error.
  • 文件: /twcms/kongphp/cache/cache_redis.class.php
  • 位置: 第 85 行
    <?php echo 'KongPHP, Road to Jane.'; ?>