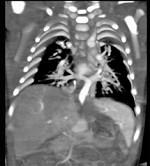
女性,21岁,活动后呼吸困难,时常发生上呼吸道感染,CT扫描如图所示,请选择正确的选项 ( )A、该病人肺静脉异位引流入下腔静脉B、该...

作者: rantiku 人气: - 评论: 0
问题 女性,21岁,活动后呼吸困难,时常发生上呼吸道感染,CT扫描如图所示,请选择正确的选项 ( )
选项 A、该病人肺静脉异位引流入下腔静脉 B、该病人为心下型肺静脉异位引流 C、肺静脉异位引流根据引流肺静脉支数的不同可分为部分性及完全性 D、根据引流部位不同分为心上型、心脏型、心下型 E、考虑为肺静脉异位引流
答案 ABCDE
解析

猜你喜欢

发表评论
更多 网友评论0 条评论)
暂无评论
错误啦!

错误信息

  • 消息: [程序异常] : MISCONF Redis is configured to save RDB snapshots, but it's currently unable to persist to disk. Commands that may modify the data set are disabled, because this instance is configured to report errors during writes if RDB snapshotting fails (stop-writes-on-bgsave-error option). Please check the Redis logs for details about the RDB error.
  • 文件: /twcms/kongphp/cache/cache_redis.class.php
  • 位置: 第 85 行
    <?php echo 'KongPHP, Road to Jane.'; ?>