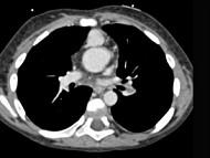
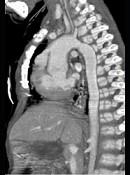
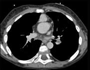
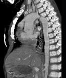
患者,男性,8岁,发绀、气促,易感冒,彩超提示只见一个心室,CT检查如图所示,请选择正确的选项 ( )A、最常并发肺动脉瓣及瓣下畸形B...

作者: rantiku 人气: - 评论: 0
问题 患者,男性,8岁,发绀、气促,易感冒,彩超提示只见一个心室,CT检查如图所示,请选择正确的选项 ( )
选项 A、最常并发肺动脉瓣及瓣下畸形 B、可伴有内脏心房异位、房间隔缺损、共同心房、双上腔静脉等发育畸形 C、为一种较为复杂的先天性疾病 D、以前诊断主要依靠心血管造影 E、考虑为单心室共同动脉干
答案 ABCDE
解析

猜你喜欢

发表评论
更多 网友评论0 条评论)
暂无评论
错误啦!

错误信息

  • 消息: [程序异常] : MISCONF Redis is configured to save RDB snapshots, but it's currently unable to persist to disk. Commands that may modify the data set are disabled, because this instance is configured to report errors during writes if RDB snapshotting fails (stop-writes-on-bgsave-error option). Please check the Redis logs for details about the RDB error.
  • 文件: /twcms/kongphp/cache/cache_redis.class.php
  • 位置: 第 85 行
    <?php echo 'KongPHP, Road to Jane.'; ?>