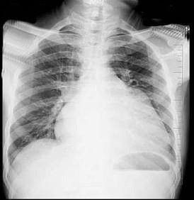
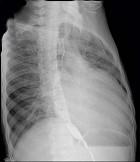
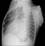
56岁男性患者,劳累后心慌气促10余年,近来自觉症状加重。临床听诊,心尖区有舒张期隆隆样杂音,行胸部X检查,如图所示,你认为下列描述正确的是 ( ) ...

作者: rantiku 人气: - 评论: 0
问题 56岁男性患者,劳累后心慌气促10余年,近来自觉症状加重。临床听诊,心尖区有舒张期隆隆样杂音,行胸部X检查,如图所示,你认为下列描述正确的是 ( )
选项 A、考虑三尖瓣狭窄 B、右前斜位示左心房增大,心后上缘后突压迫冲钡食管 C、左前斜位示心影向后下方突出 D、考虑二尖瓣狭窄
答案 BCD
解析

猜你喜欢

发表评论
更多 网友评论0 条评论)
暂无评论
错误啦!

错误信息

  • 消息: [程序异常] : MISCONF Redis is configured to save RDB snapshots, but it's currently unable to persist to disk. Commands that may modify the data set are disabled, because this instance is configured to report errors during writes if RDB snapshotting fails (stop-writes-on-bgsave-error option). Please check the Redis logs for details about the RDB error.
  • 文件: /twcms/kongphp/cache/cache_redis.class.php
  • 位置: 第 85 行
    <?php echo 'KongPHP, Road to Jane.'; ?>