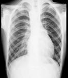
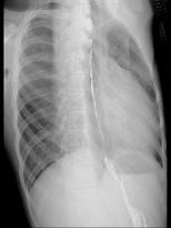
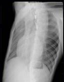
21岁男性患者,劳累后心悸、气促5年,听诊第2肋间有喷射性杂音,胸部三位片如图所示,你认为正确的描述和答案是 ( )A、考虑房间隔缺损B、...

作者: rantiku 人气: - 评论: 0
问题 21岁男性患者,劳累后心悸、气促5年,听诊第2肋间有喷射性杂音,胸部三位片如图所示,你认为正确的描述和答案是 ( )
选项 A、考虑房间隔缺损 B、考虑室间隔缺损 C、右前斜位示左心房食管压迹未见明显加深 D、左、右前斜位示右心房段延长 E、后前位示心脏左移,主动脉结缩小,肺动脉段突出
答案 ACDE
解析

猜你喜欢

发表评论
更多 网友评论0 条评论)
暂无评论

访问排行

Copyright © 2012-2014 恰考网 Inc. 保留所有权利。 Powered by tikuer.com

页面耗时0.0428秒, 内存占用1.03 MB, Cache:redis,访问数据库17次