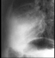
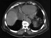
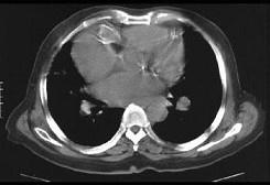
73岁男性患者,呼吸急促半天入院,常规CT扫描如图所示,请选择正确的描述和诊断结果 ( )A、右侧冠状动脉瘤B、左侧冠状动脉瘤C、右侧...

作者: rantiku 人气: - 评论: 0
问题 73岁男性患者,呼吸急促半天入院,常规CT扫描如图所示,请选择正确的描述和诊断结果 ( )
选项 A、右侧冠状动脉瘤 B、左侧冠状动脉瘤 C、右侧冠状动脉局限性梭形扩张 D、心包肥厚 E、冠状动脉壁可见致密钙化影,以右侧明显
答案 ACE
解析

猜你喜欢

发表评论
更多 网友评论0 条评论)
暂无评论

访问排行

Copyright © 2012-2014 恰考网 Inc. 保留所有权利。 Powered by tikuer.com

页面耗时0.0371秒, 内存占用1.03 MB, Cache:redis,访问数据库20次