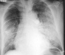
男,67岁,近1个月出现活动后心悸、气短,双肺底可闻及湿性啰音,腹部检查肝脾肋下未触及,双下肢明显凹陷性水肿。胸部X线检查如图所示,超声心动图左室舒张末径...

作者: rantiku 人气: - 评论: 0
问题 男,67岁,近1个月出现活动后心悸、气短,双肺底可闻及湿性啰音,腹部检查肝脾肋下未触及,双下肢明显凹陷性水肿。胸部X线检查如图所示,超声心动图左室舒张末径61mm,左室射血分 数39%。 下列哪项治疗原则是错误的 ( )
选项 A、扩血管 B、ACEI C、利尿 D、β受体阻滞剂 E、强心
答案 D
解析

猜你喜欢

发表评论
更多 网友评论0 条评论)
暂无评论

访问排行

Copyright © 2012-2014 恰考网 Inc. 保留所有权利。 Powered by tikuer.com

页面耗时0.0413秒, 内存占用1.03 MB, Cache:redis,访问数据库13次