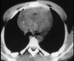
血友病患者突发胸闷,气急,体查见颈静脉显露,嘴唇发干,影像学检查如图,最可能的诊断为 ( )A、纵隔积液B、胸腺瘤C、淋巴瘤D、结...

作者: rantiku 人气: - 评论: 0
问题 血友病患者突发胸闷,气急,体查见颈静脉显露,嘴唇发干,影像学检查如图,最可能的诊断为 ( )
选项 A、纵隔积液 B、胸腺瘤 C、淋巴瘤 D、结节病 E、纵隔自发性出血
答案 E
解析

猜你喜欢

发表评论
更多 网友评论0 条评论)
暂无评论

访问排行

Copyright © 2012-2014 恰考网 Inc. 保留所有权利。 Powered by tikuer.com

页面耗时0.0462秒, 内存占用1.03 MB, Cache:redis,访问数据库20次