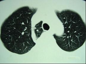
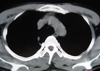
男,40岁,CT检查如图,最可能的诊断为 ( )A、右上肺占位B、右上肺奇叶形成C、右上肺陈旧性结核灶D、右上肺不张E、右上肺纤维化

作者: rantiku 人气: - 评论: 0
问题 男,40岁,CT检查如图,最可能的诊断为 ( )
选项 A、右上肺占位 B、右上肺奇叶形成 C、右上肺陈旧性结核灶 D、右上肺不张 E、右上肺纤维化
答案 B
解析

猜你喜欢

发表评论
更多 网友评论0 条评论)
暂无评论

访问排行

Copyright © 2012-2014 恰考网 Inc. 保留所有权利。 Powered by tikuer.com

页面耗时0.0354秒, 内存占用1.03 MB, Cache:redis,访问数据库20次