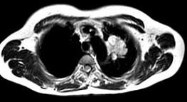
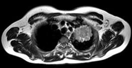
男,68岁,声音嘶哑半月,行MRI检查如图,其最可能的诊断为 ( )A、左上肺癌B、左上肺动静脉瘤C、左上肺结核球D、左上肺炎...

作者: rantiku 人气: - 评论: 0
问题 男,68岁,声音嘶哑半月,行MRI检查如图,其最可能的诊断为 ( )
选项 A、左上肺癌 B、左上肺动静脉瘤 C、左上肺结核球 D、左上肺炎性假瘤 E、右上肺癌
答案 A
解析

猜你喜欢

发表评论
更多 网友评论0 条评论)
暂无评论

访问排行

Copyright © 2012-2014 恰考网 Inc. 保留所有权利。 Powered by tikuer.com

页面耗时0.0468秒, 内存占用1.03 MB, Cache:redis,访问数据库19次