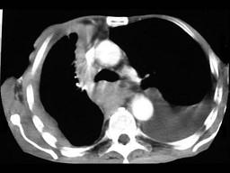
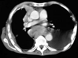
67岁,男,呼吸急促3个月,请结合胸片选出最可能的诊断 ( )[WXJ-01111.jpg]A、肺癌B、胸膜间皮瘤C、胸膜肥厚D、...

作者: rantiku 人气: - 评论: 0
问题 67岁,男,呼吸急促3个月,请结合胸片选出最可能的诊断 ( ) [WXJ-01111.jpg ]
选项 A、肺癌 B、胸膜间皮瘤 C、胸膜肥厚 D、化脓性胸膜炎 E、包裹性胸腔积液
答案 B
解析

猜你喜欢

发表评论
更多 网友评论0 条评论)
暂无评论

访问排行

Copyright © 2012-2014 恰考网 Inc. 保留所有权利。 Powered by tikuer.com

页面耗时0.0358秒, 内存占用1.03 MB, Cache:redis,访问数据库15次