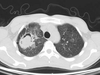
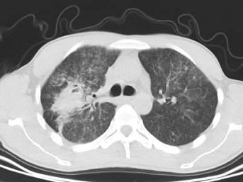
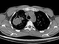
男,32岁,咯血,咳痰一周,胸部CT如图,最可能的诊断为 ( )A、右上肺结核性空洞并霉菌感染B、组织胞浆菌病C、周围型肺癌D...

作者: rantiku 人气: - 评论: 0
问题 男,32岁,咯血,咳痰一周,胸部CT如图,最可能的诊断为 ( )
选项 A、右上肺结核性空洞并霉菌感染 B、组织胞浆菌病 C、周围型肺癌 D、右上肺感染 E、肺结核
答案 A
解析

猜你喜欢

发表评论
更多 网友评论0 条评论)
暂无评论

访问排行

Copyright © 2012-2014 恰考网 Inc. 保留所有权利。 Powered by tikuer.com

页面耗时0.0330秒, 内存占用1.03 MB, Cache:redis,访问数据库19次