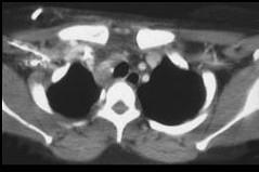
男,33岁,车祸后十余天,请结合影像学检查,选出最可能的诊断 ( )A、淋巴瘤B、纵隔血肿C、胸内甲状腺肿D、胸腺瘤E、纵隔畸胎瘤

作者: rantiku 人气: - 评论: 0
问题 男,33岁,车祸后十余天,请结合影像学检查,选出最可能的诊断 ( )
选项 A、淋巴瘤 B、纵隔血肿 C、胸内甲状腺肿 D、胸腺瘤 E、纵隔畸胎瘤
答案 B
解析

猜你喜欢

发表评论
更多 网友评论0 条评论)
暂无评论

访问排行

Copyright © 2012-2014 恰考网 Inc. 保留所有权利。 Powered by tikuer.com

页面耗时0.0321秒, 内存占用1.03 MB, Cache:redis,访问数据库19次