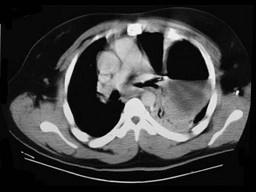
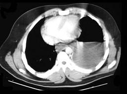
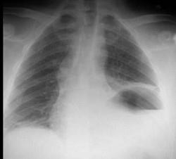
35岁,男,因车祸入院,呼吸困难、发绀、上腹痛,请结合胸片和CT选择最可能的诊断 ( )A、膈麻痹B、液气胸C、胸腔积液D、膈膨升...

作者: rantiku 人气: - 评论: 0
问题 35岁,男,因车祸入院,呼吸困难、发绀、上腹痛,请结合胸片和CT选择最可能的诊断 ( )
选项 A、膈麻痹 B、液气胸 C、胸腔积液 D、膈膨升 E、膈疝
答案 E
解析

猜你喜欢

发表评论
更多 网友评论0 条评论)
暂无评论

访问排行

Copyright © 2012-2014 恰考网 Inc. 保留所有权利。 Powered by tikuer.com

页面耗时0.0442秒, 内存占用1.03 MB, Cache:redis,访问数据库20次