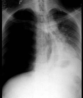
男,35岁,被汽车撞伤右胸已经24小时,颜面口唇苍白,皮肤湿冷,心律120次/分,血压12/9、33kPa(90/70mmHg),呼吸困难逐渐加重,气管左...

作者: rantiku 人气: - 评论: 0
问题 男,35岁,被汽车撞伤右胸已经24小时,颜面口唇苍白,皮肤湿冷,心律120次/分,血压12/9、33kPa(90/70mmHg),呼吸困难逐渐加重,气管左移,右侧叩诊高度鼓音,右侧胸穿未抽出血液,胸部X线检查如图。最可能的诊断是 ( )
选项 A、肺内出血 B、支气管断裂 C、凝固性血胸 D、张力性气胸 E、损伤性窒息
答案 D
解析

猜你喜欢

发表评论
更多 网友评论0 条评论)
暂无评论

访问排行

Copyright © 2012-2014 恰考网 Inc. 保留所有权利。 Powered by tikuer.com

页面耗时0.0604秒, 内存占用1.02 MB, Cache:redis,访问数据库15次