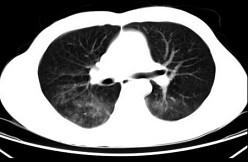
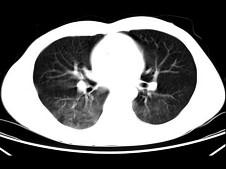
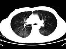
男,35岁,被车撞伤后1小时,结合影像图像选择其最可能的诊断为 ( )A、肺挫伤B、支气管扩张C、肺结核D、间质性肺炎E、肺炎

作者: rantiku 人气: - 评论: 0
问题 男,35岁,被车撞伤后1小时,结合影像图像选择其最可能的诊断为 ( )
选项 A、肺挫伤 B、支气管扩张 C、肺结核 D、间质性肺炎 E、肺炎
答案 A
解析

猜你喜欢

发表评论
更多 网友评论0 条评论)
暂无评论

访问排行

Copyright © 2012-2014 恰考网 Inc. 保留所有权利。 Powered by tikuer.com

页面耗时0.0319秒, 内存占用1.03 MB, Cache:redis,访问数据库17次