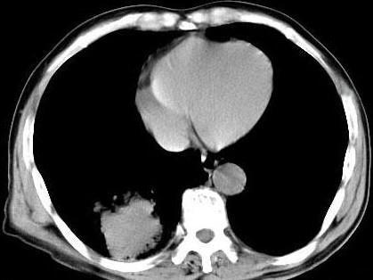
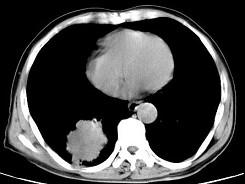
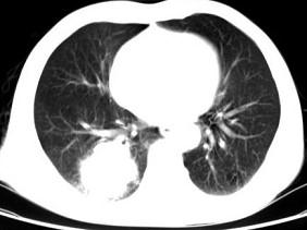
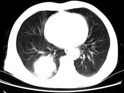
男,66岁,胸痛一月,胸部CT如图,最可能的诊断是 ( )A、右下肺错构瘤B、右侧炎性假瘤C、右下肺动静脉瘘D、右下肺肉瘤...

作者: rantiku 人气: - 评论: 0
问题 男,66岁,胸痛一月,胸部CT如图,最可能的诊断是 ( )
选项 A、右下肺错构瘤 B、右侧炎性假瘤 C、右下肺动静脉瘘 D、右下肺肉瘤 E、右下肺周围型肺癌
答案 E
解析

猜你喜欢

发表评论
更多 网友评论0 条评论)
暂无评论

访问排行

Copyright © 2012-2014 恰考网 Inc. 保留所有权利。 Powered by tikuer.com

页面耗时0.0597秒, 内存占用1.03 MB, Cache:redis,访问数据库20次