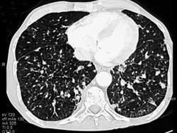
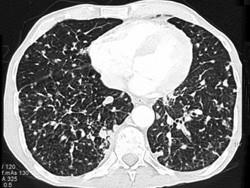
女,56岁,乳腺癌手术后,未行化疗,结合CT图像,选择最可能的诊断是 ( )A、肺结节病B、肺曲菌病C、肺结核D、间质性肺炎E、肺转移癌

作者: rantiku 人气: - 评论: 0
问题 女,56岁,乳腺癌手术后,未行化疗,结合CT图像,选择最可能的诊断是 ( )
选项 A、肺结节病 B、肺曲菌病 C、肺结核 D、间质性肺炎 E、肺转移癌
答案 E
解析

猜你喜欢

发表评论
更多 网友评论0 条评论)
暂无评论

访问排行

Copyright © 2012-2014 恰考网 Inc. 保留所有权利。 Powered by tikuer.com

页面耗时0.0365秒, 内存占用1.02 MB, Cache:redis,访问数据库14次