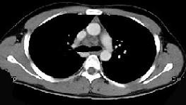
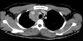
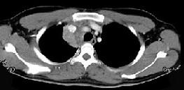
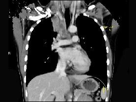
男,21岁,干咳,盗汗一月伴消瘦,CT如图,应先考虑为 ( )A、右上肺上沟瘤B、右上肺不张C、纵隔型肺癌并纵隔淋巴结核转移D...

作者: rantiku 人气: - 评论: 0
问题 男,21岁,干咳,盗汗一月伴消瘦,CT如图,应先考虑为 ( )
选项 A、右上肺上沟瘤 B、右上肺不张 C、纵隔型肺癌并纵隔淋巴结核转移 D、淋巴瘤 E、右上肺结核并纵隔淋巴结核
答案 E
解析

猜你喜欢

发表评论
更多 网友评论0 条评论)
暂无评论

访问排行

Copyright © 2012-2014 恰考网 Inc. 保留所有权利。 Powered by tikuer.com

页面耗时0.0354秒, 内存占用1.03 MB, Cache:redis,访问数据库18次