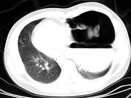
女,6岁,胸闷,咳嗽,胸部CT如图,最可能的诊断为 ( )A、右侧脓胸B、支气管囊肿并感染C、右侧液气胸D、右肺肺大疱E、畸胎瘤

作者: rantiku 人气: - 评论: 0
问题 女,6岁,胸闷,咳嗽,胸部CT如图,最可能的诊断为 ( )
选项 A、右侧脓胸 B、支气管囊肿并感染 C、右侧液气胸 D、右肺肺大疱 E、畸胎瘤
答案 B
解析

猜你喜欢

发表评论
更多 网友评论0 条评论)
暂无评论

访问排行

Copyright © 2012-2014 恰考网 Inc. 保留所有权利。 Powered by tikuer.com

页面耗时0.0439秒, 内存占用1.03 MB, Cache:redis,访问数据库20次