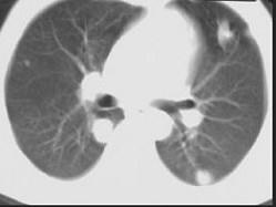
男,40岁,化脓性胆管炎手术后三天出现高热,伴胸痛,咳嗽,CT如图,最可能的诊断为 ( )A、肺多发性脓肿B、肺组织胞浆菌病C、金葡菌肺炎...

作者: rantiku 人气: - 评论: 0
问题 男,40岁,化脓性胆管炎手术后三天出现高热,伴胸痛,咳嗽,CT如图,最可能的诊断为 ( )
选项 A、肺多发性脓肿 B、肺组织胞浆菌病 C、金葡菌肺炎 D、肺淋巴瘤 E、肺转移癌
答案 A
解析

猜你喜欢

发表评论
更多 网友评论0 条评论)
暂无评论

访问排行

Copyright © 2012-2014 恰考网 Inc. 保留所有权利。 Powered by tikuer.com

页面耗时0.0339秒, 内存占用1.03 MB, Cache:redis,访问数据库19次