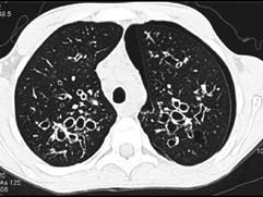
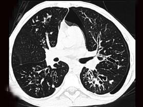
男,38岁,咳嗽、咳痰、咯血,结核菌素实验(-),结合CT图像,最可能的诊断是 ( )A、间质性肺炎B、特发性肺间质纤维化C、肺囊虫病...

作者: rantiku 人气: - 评论: 0
问题 男,38岁,咳嗽、咳痰、咯血,结核菌素实验(-),结合CT图像,最可能的诊断是 ( )
选项 A、间质性肺炎 B、特发性肺间质纤维化 C、肺囊虫病 D、肺囊肿 E、支气管扩张
答案 E
解析

猜你喜欢

发表评论
更多 网友评论0 条评论)
暂无评论

访问排行

Copyright © 2012-2014 恰考网 Inc. 保留所有权利。 Powered by tikuer.com

页面耗时0.0427秒, 内存占用1.03 MB, Cache:redis,访问数据库20次