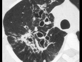
女,28岁,反复咯血半月余,CT检查如图,选出最可能的诊断 ( )A、支气管扩张B、肺脓肿C、肺癌D、间质性肺炎E、肺结核

作者: rantiku 人气: - 评论: 0
问题 女,28岁,反复咯血半月余,CT检查如图,选出最可能的诊断 ( )
选项 A、支气管扩张 B、肺脓肿 C、肺癌 D、间质性肺炎 E、肺结核
答案 A
解析

猜你喜欢

发表评论
更多 网友评论0 条评论)
暂无评论

访问排行

Copyright © 2012-2014 恰考网 Inc. 保留所有权利。 Powered by tikuer.com

页面耗时0.0403秒, 内存占用1.03 MB, Cache:redis,访问数据库19次