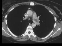
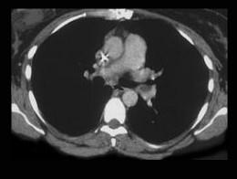
女,51岁,心脏手术后,突感胸痛,结合CT图像,最可能的诊断是 ( )A、肺癌B、肺不张C、支气管扩张D、肺水肿E、肺栓塞

作者: rantiku 人气: - 评论: 0
问题 女,51岁,心脏手术后,突感胸痛,结合CT图像,最可能的诊断是 ( )
选项 A、肺癌 B、肺不张 C、支气管扩张 D、肺水肿 E、肺栓塞
答案 E
解析

猜你喜欢

发表评论
更多 网友评论0 条评论)
暂无评论

访问排行

Copyright © 2012-2014 恰考网 Inc. 保留所有权利。 Powered by tikuer.com

页面耗时0.0323秒, 内存占用1.03 MB, Cache:redis,访问数据库18次