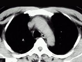
21岁,近2个月来咳嗽,痰中带血丝,午后手心足底发热,盗汗、心悸,胸部CT见图,最可能的诊断是 ( )A、右上肺炎B、肺囊肿C、继发性肺结...

作者: rantiku 人气: - 评论: 0
问题 21岁,近2个月来咳嗽,痰中带血丝,午后手心足底发热,盗汗、心悸,胸部CT见图,最可能的诊断是 ( )
选项 A、右上肺炎 B、肺囊肿 C、继发性肺结核空洞形成 D、右肺脓肿 E、右上肺癌性空洞形成
答案 C
解析

猜你喜欢

发表评论
更多 网友评论0 条评论)
暂无评论

访问排行

Copyright © 2012-2014 恰考网 Inc. 保留所有权利。 Powered by tikuer.com

页面耗时0.0298秒, 内存占用1.03 MB, Cache:redis,访问数据库19次