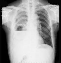
男性患者,64岁,咳嗽高热多日,无痰中带血,X线检查如图所示,最合理的诊断是 ( )A、右肺不张B、右支气管扩张C、右侧胸腔积液并肺脓肿 ...

作者: rantiku 人气: - 评论: 0
问题 男性患者,64岁,咳嗽高热多日,无痰中带血,X线检查如图所示,最合理的诊断是 ( )
选项 A、右肺不张 B、右支气管扩张 C、右侧胸腔积液并肺脓肿 D、右肺炎 E、右侧胸腔积液
答案 C
解析

猜你喜欢

发表评论
更多 网友评论0 条评论)
暂无评论

访问排行

Copyright © 2012-2014 恰考网 Inc. 保留所有权利。 Powered by tikuer.com

页面耗时0.0359秒, 内存占用1.03 MB, Cache:redis,访问数据库20次