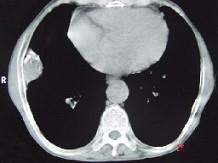
CT图像如下,最可能诊断为 ( )A、膈膨升B、纵隔肿块C、右侧胸膜良性病变D、肋骨病变侵犯胸壁E、右肺肺占位

作者: rantiku 人气: - 评论: 0
问题 CT图像如下,最可能诊断为 ( )
选项 A、膈膨升 B、纵隔肿块 C、右侧胸膜良性病变 D、肋骨病变侵犯胸壁 E、右肺肺占位
答案 C
解析

猜你喜欢

发表评论
更多 网友评论0 条评论)
暂无评论
错误啦!

错误信息

  • 消息: [程序异常] : MISCONF Redis is configured to save RDB snapshots, but it's currently unable to persist to disk. Commands that may modify the data set are disabled, because this instance is configured to report errors during writes if RDB snapshotting fails (stop-writes-on-bgsave-error option). Please check the Redis logs for details about the RDB error.
  • 文件: /twcms/kongphp/cache/cache_redis.class.php
  • 位置: 第 85 行
    <?php echo 'KongPHP, Road to Jane.'; ?>