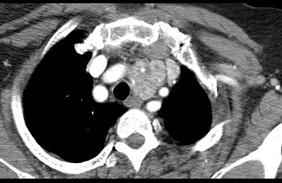
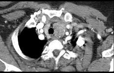
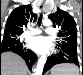
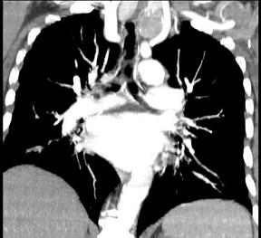
40岁,女,发现颈部肿块,随吞咽上下移动,触之无搏动,咳嗽、气喘一周,请结合CT图。检查选择最可能的诊断 ( )A、无名动脉伸展扭曲B...

作者: rantiku 人气: - 评论: 0
问题 40岁,女,发现颈部肿块,随吞咽上下移动,触之无搏动,咳嗽、气喘一周,请结合CT图。检查选择最可能的诊断 ( )
选项 A、无名动脉伸展扭曲 B、淋巴瘤 C、胸内甲状腺瘤 D、无名动脉瘤 E、胸腺瘤
答案 C
解析

猜你喜欢

发表评论
更多 网友评论0 条评论)
暂无评论

访问排行

Copyright © 2012-2014 恰考网 Inc. 保留所有权利。 Powered by tikuer.com

页面耗时0.0366秒, 内存占用1.03 MB, Cache:redis,访问数据库20次