女,68岁,咳嗽伴胸痛胸闷一月,CT检查如图,最可能的诊断为 ( )A、左上肺软骨肉瘤伴胸膜转移B、左上肺结核C、左上肺周围型肺癌伴胸膜转...

作者: rantiku 人气: - 评论: 0
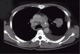
问题 女,68岁,咳嗽伴胸痛胸闷一月,CT检查如图,最可能的诊断为 ( )
选项 A、左上肺软骨肉瘤伴胸膜转移 B、左上肺结核 C、左上肺周围型肺癌伴胸膜转移 D、左上肺血管瘤 E、左上肺不张
答案 C
解析

猜你喜欢

发表评论
更多 网友评论0 条评论)
暂无评论

访问排行

Copyright © 2012-2014 恰考网 Inc. 保留所有权利。 Powered by tikuer.com

页面耗时0.1003秒, 内存占用1.03 MB, Cache:redis,访问数据库18次