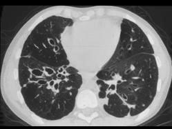
男,18岁,咳嗽,咳痰,咯血半月余,CT检查如图,选出最可能的诊断 ( )A、大叶性肺炎B、肺癌C、支气管扩张D、原发性肺结核E、...

作者: rantiku 人气: - 评论: 0
问题 男,18岁,咳嗽,咳痰,咯血半月余,CT检查如图,选出最可能的诊断 ( )
选项 A、大叶性肺炎 B、肺癌 C、支气管扩张 D、原发性肺结核 E、过敏性肺炎
答案 C
解析

猜你喜欢

发表评论
更多 网友评论0 条评论)
暂无评论

访问排行

Copyright © 2012-2014 恰考网 Inc. 保留所有权利。 Powered by tikuer.com

页面耗时0.0396秒, 内存占用1.03 MB, Cache:redis,访问数据库18次