男,45岁,HBV阳性十年,胸痛一月伴咳嗽,咯血一天,胸片如图,选择最可能的诊断 ( )A、金葡菌感染B、肺转移癌C、肺韦格肉芽肿D、HB...

作者: rantiku 人气: - 评论: 0
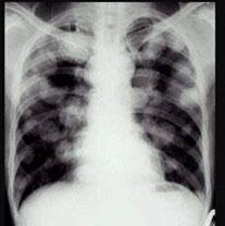
问题 男,45岁,HBV阳性十年,胸痛一月伴咳嗽,咯血一天,胸片如图,选择最可能的诊断 ( )
选项 A、金葡菌感染 B、肺转移癌 C、肺韦格肉芽肿 D、HBV病毒肺部转移 E、肺多发性脓肿
答案 B
解析

猜你喜欢

发表评论
更多 网友评论0 条评论)
暂无评论

访问排行

Copyright © 2012-2014 恰考网 Inc. 保留所有权利。 Powered by tikuer.com

页面耗时0.0309秒, 内存占用1.03 MB, Cache:redis,访问数据库19次