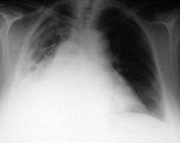
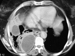
男,54岁,发热、胸痛一月余,继往有酗酒史,请结合CT图像选择最可能的诊断 ( )A、肺囊虫病B、肺癌C、肺脓肿D、大叶性肺炎E、脓胸

作者: rantiku 人气: - 评论: 0
问题 男,54岁,发热、胸痛一月余,继往有酗酒史,请结合CT图像选择最可能的诊断 ( )
选项 A、肺囊虫病 B、肺癌 C、肺脓肿 D、大叶性肺炎 E、脓胸
答案 E
解析

猜你喜欢

发表评论
更多 网友评论0 条评论)
暂无评论

访问排行

Copyright © 2012-2014 恰考网 Inc. 保留所有权利。 Powered by tikuer.com

页面耗时0.0451秒, 内存占用1.03 MB, Cache:redis,访问数据库17次