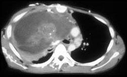
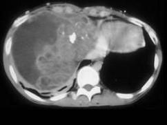
男,37岁,咳嗽,咯血2月余,偶尔咳出钙化物,请结合影像学检查,选出最可能的诊断 ( )A、淋巴管瘤B、淋巴瘤C、肺癌D、胸腺瘤E...

作者: rantiku 人气: - 评论: 0
问题 男,37岁,咳嗽,咯血2月余,偶尔咳出钙化物,请结合影像学检查,选出最可能的诊断 ( )
选项 A、淋巴管瘤 B、淋巴瘤 C、肺癌 D、胸腺瘤 E、畸胎瘤
答案 E
解析

猜你喜欢

发表评论
更多 网友评论0 条评论)
暂无评论

访问排行

Copyright © 2012-2014 恰考网 Inc. 保留所有权利。 Powered by tikuer.com

页面耗时0.0406秒, 内存占用1.03 MB, Cache:redis,访问数据库20次