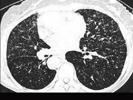
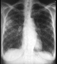
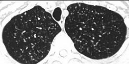
女,23岁,消瘦盗汗1月余,干咳1周,偶痰中带血,影像如图,最可能的诊断为 ( )A、慢性支气管炎B、SLE肺部侵犯C、含铁血黄素沉着...

作者: rantiku 人气: - 评论: 0
问题 女,23岁,消瘦盗汗1月余,干咳1周,偶痰中带血,影像如图,最可能的诊断为 ( )
选项 A、慢性支气管炎 B、SLE肺部侵犯 C、含铁血黄素沉着 D、弥漫性肺纤维化 E、粟粒性肺结核
答案 E
解析

猜你喜欢

发表评论
更多 网友评论0 条评论)
暂无评论

访问排行

Copyright © 2012-2014 恰考网 Inc. 保留所有权利。 Powered by tikuer.com

页面耗时0.0505秒, 内存占用1.03 MB, Cache:redis,访问数据库19次